Osteoarthritis
Anatomy
The shoulder is a ball and socket joint in the upper extremity that is in part responsible for the positioning of the hand in space. It is made up of the gleno-humeral joint, the acromio-clavicular joint and sternoclavicular joint. These joints are lined with cartilage (gristle) for smooth movement. Like every other joint in the body, the shoulder can suffer from wear and tear of the cartilage – arthritis. This is most commonly observed after middle age and it mainly afflicts the glenohumeral and acromioclavicular parts of the joint.
Causes
It is not clearly understood why some patients get pain from arthritis and others do not. It is almost certainly a product of increasing age, but there are also genetic, functional and environmental components to it.
Symptoms
The usual complaints in arthritis are pain – first on certain movements and then at rest – stiffness, weakness and crepitus (grinding sensation). In severe cases the pain can keep one awake at night.
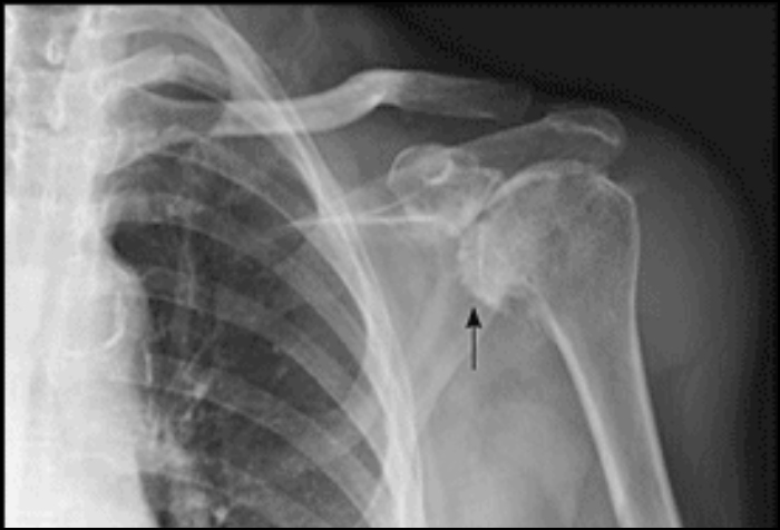
Treatment
After a history and examination, the surgeon will perform an X-ray of the shoulder to help confirm the diagnosis. Treatment starts with activity modification (avoiding if possible the actions that cause pain), painkillers and gentle physical therapy as pain allows to maintain shoulder function and strength. If symptoms persist, judicious injections of steroid may be given, though not more than 2 in the same joint in a calendar year. If these measures fail to control symptoms then you and your surgeon should discuss joint replacement surgery.
- Foot & Ankle
- Hip
- Knee
- Anterior Cruciate Ligament Rupture
- Medial Collateral Ligament Tear
- Meniscus Tears
- Osteoarthritis of the Knee
- Patella (Knee Cap) Dislocation
- Patella Chrondromalacia
- Patella Tendonitis
- Posterior Cruciate Ligament Injury
- Shoulder
- Acromio-clavicular joint pathology
- Biceps tendinopathy
- Frozen Shoulder
- Impingement
- Instability and shoulder dislocation
- Osteoarthritis
- Rheumatoid Arthritis
- Rotator cuff tear
- Scapular Dyskinesia
- Septic Arthritis
- Spine
- Paediatric Orthopaedics
- Abnormal Shape of Legs
- Cerebral Palsy
- Clubfoot
- Developmental Dysplasia of the Hip
- Flat Foot
- Limb Length Difference
- Polydactyly
- Elbow
